If you are searching for a PDF that explains nephritic syndrome, you’ve come to the right place. Here, you will learn all you need to know about this condition. Here are some tips to help you understand the syndrome and its treatment. Keep reading to discover what to do if you are experiencing any of these symptoms. And remember, the right treatment for nephritic syndrome is the same as for other kidney diseases.
To start, the abbreviation for nephritic syndrome is LTHB l’dhn. The pdf version of this book has 58 reviews. It is written by a team of experts. You can download a free copy from its website. But before downloading the file, make sure to read the book’s contents and the recommendations. Moreover, you may also want to read a few reviews posted by others.
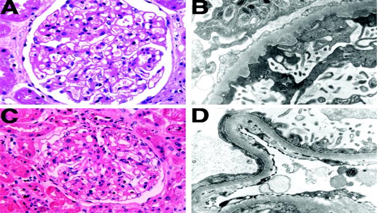
Depending on the type of nephritic syndrome you have, symptoms can vary. These symptoms include edema, which is an accumulation of fluid in the body. Edema causes shortness of breath and coughing. Low volume of urine, or oliguria, can also lead to the presence of blood in the urine. There are two types of hematuria, microhematuria and macrohematuria. The former is the unseen type, while the latter is visible.
A PDF version of this book can be very helpful for you to read while you’re on the go. You can also make use of the online version to learn more about the disease and its treatment. This is one of the best ways to find information and get started on the right path to healing. Once you’ve read this book, you’ll feel much more confident in your decision to take the next step in your treatment.
